注册
登录
搜索
标签
帮助
BBS
»
时事新闻专区
» 原来真会笑死人的!
‹‹ 上一主题
|
下一主题 ››
发新话题
发布投票
发布商品
发布悬赏
发布活动
发布辩论
发布视频
打印
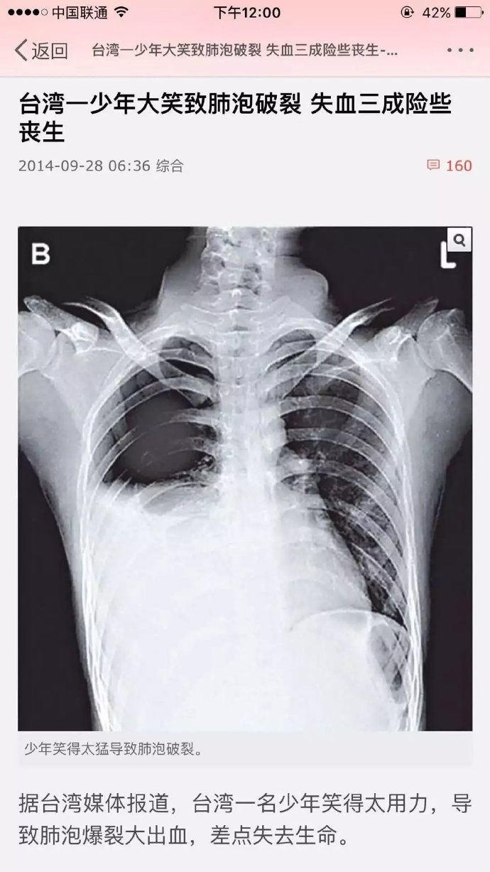
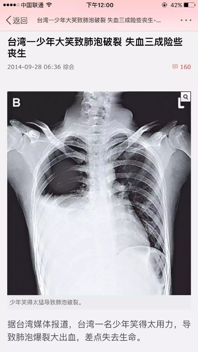
原来真会笑死人的!
游客
X.X.X.X
未注册
1楼帖子
大
中
小
发表于 2016-9-12 09:21
原来真会笑死人的!
1.jpg
(101.46 KB)
2016-9-12 09:21
引用
回复
TOP
游客
X.X.X.X
未注册
2楼帖子
大
中
小
发表于 2016-9-12 09:43
吓得我大笑一锅
引用
回复
TOP
游客
X.X.X.X
未注册
3楼帖子
大
中
小
发表于 2016-9-12 09:54
哇塞,笑都可以笑死人啊
引用
回复
TOP
‹‹ 上一主题
|
下一主题 ››
查看积分策略说明
快速回复主题
选项
禁用 URL 识别
禁用
表情
禁用
Discuz!代码
使用个人签名
接收新回复邮件通知
标题
内容
发表帖子
[完成后可按 Ctrl+Enter 发布]
预览帖子
恢复数据
清空内容
最近访问的版块 ...
科学、生活、常识、益智
BBS
xnote.cn交流专区
旅游、摄影、美图、壁纸
文学殿堂
科学、生活、常识、益智
时事新闻专区
影视歌漫画书画发布区
电脑、手机、平板知识专栏