发新话题
打印

看看都觉痛:13公分钢钉插下体

看看都觉痛:13公分钢钉插下体


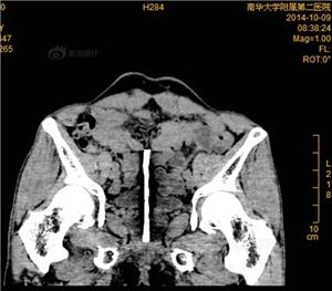
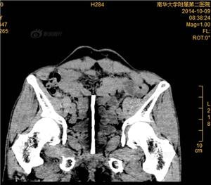
  10月8日,湖南衡阳南华大学附二医院收治了一位奇葩患者,患者K某现年52岁,是一位单身男士。K某为了持久兴奋,将钢钉插入尿道,致钢钉上移滞留体内半年。



  据患者讲叙,在半年多前的一次兴奋自慰时候,他突发奇想,想把自己的兴奋长期固定下来,于是用一个13公分的钢钉通过尿道慢慢地插入进去,可是随着时间的推移,钢钉不仅没有固定下他的兴奋,而且慢慢地往上走,居然在膀胱里面安营扎寨。

[57] 看完有菊花一紧感觉···
........................................................................有病,得治
讲打讲杀唔好预我,我睇咸带好过。——凌凌漆
引用:
原帖由 Guest from 150.52.22.x 于 2014-10-11 15:27 发表
[57] 看完有菊花一紧感觉···
故事主人翁插的是尿道
讲打讲杀唔好预我,我睇咸带好过。——凌凌漆
变串串了
[57] [57] [57] [36] [36] [36]
[32] 半年
串烧蛋蛋[3]
哈哈哈!世界之大真是无奇不有,[17] [17]
真变态
只能说。没文化,真可怕。。。。
发新话题
查看积分策略说明

快速回复主题

选项

[完成后可按 Ctrl+Enter 发布]  预览帖子  恢复数据  清空内容